Skip to main content
Wholistic Dental Center
Dr. Wendi Wardlaw
Request an Appointment
Like us on Facebook
Leave a Google Review
(407) 877-0141
Holistic, Biological Dentistry
14835 W. Colonial Dr. Winter Garden, FL 34787
Home
About
Our Team
Technology
Practice Photos
Services
View All
Consulting Services
Airway Dentistry
TMJ and Bruxism Therapy
Clear Aligners with Spark™
Dental Implants
Crowns and Bridges
Dentures and Partials
Family Dentistry
Emergency Dentistry
Laser Dentistry
Laser Teeth Whitening
Smile Gallery
Testimonials
Patient Info
View Patient Info
Forms
Financial
FAQs
Contact
Wholistic Dental Center
>
Smile Gallery
>
10-Month Smile Transformation
10-Month Smile Transformation
Return to Smile Gallery
Next
Click image to see a larger picture
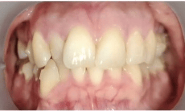
Before
After
Before
After
Are You Ready to Book Your Next Dental Visit?
Contact Us
OK!
×
×
Contact Us Today
Give Us A Call
Wholistic Dental Center -
(407) 877-0141
Send Us an Email
Request an Appointment
Contact Us
Ready to Schedule an Appointment?
Book Now
Have Questions? Contact Us:
Full Name
* (Req)
Phone
Email
* (Req)
Are you a?
New Patient
Current Patient
How would you like us to contact you?
Please choose
Email
Call
How did you hear about us?
Please choose
I'm an existing patient
Google/Bing
Mailer
Word of mouth
Social media
Other
Who Referred You?:
Appointment Preferences
Monday
Tuesday
Wednesday
Thursday
Friday
Additional Comments
This site is protected by reCAPTCHA and the Google
Privacy Policy
and
Terms of Service
apply.
Required Field
Sending...
×
This Patient's Experience
Loading Testimonial...
Loading Case...